私は医療専門家ではありませんを選択してください。アレルギーおよび免疫学 解剖学 麻酔学 生物統計学 心臓/胸部/血管外科 心臓病学 救命救急科 歯科学 皮膚科 糖尿病および内分泌学 救急医学 疫学および公衆衛生学 家庭医学 法医学 消化器科 一般診療 遺伝学 老年学 医療政策 血液学 HIV/エイズ 病院医療 私は医療専門家ではありません。感染症 統合/補完医療 内科 内科 – 小児科 医学教育とシミュレーション 医学物理学 医学生 腎臓学 神経外科 神経学 核医学 栄養学 産婦人科 労働衛生 腫瘍学 眼科 検眼学 口腔医学 整形外科 整形外科 耳鼻咽喉科 疼痛管理 緩和ケア 病理学 小児科 小児外科 薬理学 理学療法およびリハビリテーション形成外科 足病学 予防医学 精神科 心理学 呼吸器学 放射線腫瘍学 放射線学 リウマチ学 薬物使用と依存症 外科 治療学 外傷 泌尿器科 その他
1775113118
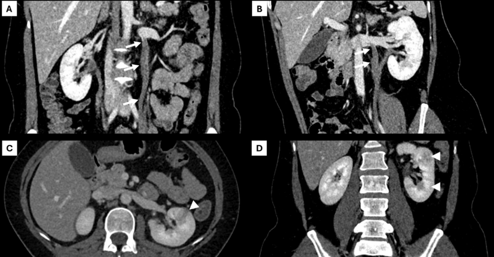
#急性腎盂腎炎に伴う非産科性卵巣静脈血栓症が救急外来を受診した1例
2026-04-02 06:50:00
